Gamma Knife ile Tedavi Edilebilen Hastalıklar
Gamma Knife'ın Uygulama Alanları
Damarsal Hastalıklar
Beynin damarsal hastalıkları olan AVM (Arteriovenöz Malformasyon) ve kavernomlarda Gamma Knife'dan yararlanılabilir. Özellikle cerrahisi riskli, boyutu da 3 cm'yi geçmeyen AVM'lerde Gamma Knife düşünülebilir.
Kötü Huylu Tümörler
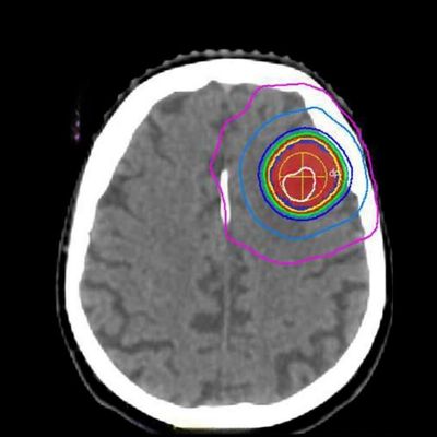
Gamma Knife'ın sık kullanıldığı alanlardan biri beyin metastazlarıdır. Bunlar kötü huylu tümörlerdir. Etkililiği sınırlı olmakla birlikte beynin kendisinden köken alan malign tümörlere de uygulanabilir.
İyi Huylu Tümörler
Beynin kendi dokularından köken alan menenjiom ve vestibüler schwannoma gibi çoğu zaman da iyi huylu olan tümörler Gamma Knife'ın en sık kullandığı ve olumlu yanıt verebildiği beyin tümörü tipleridir.
Fonksiyonel Hastalıklar
Beynin fonksiyonel bozuklarında nadiren de olsa Gamma Knife radyocerrahisinden yararlanılabilir. Trigeminal nevralji olgularında seçilmiş vakalarda Gamma Knife düşünülebilir.

Beyin ve Sinir Cerrahisi Uzmanı
Prof. Dr. Yavuz Aras
Tıp doktorluğu diplomasını İstanbul Üniversitesi Cerrahpaşa Tıp Fakültesinden 1998 yılında almış, beyin ve sinir cerrahi asistanlığını İstanbul Üniversitesi İstanbul Tıp Fakültesi Beyin ve Sinir Cerrahisi Kliniğinde 2001-2007 arasında tamamlamıştır.
Mecburi hizmetini tamamladıktan sonra 2010 yılında İstanbul Tıp Fakültesi Beyin ve Sinir Cerrahisi Kliniğinde hizmet vermeye başlamıştır. Halen tıp fakültesinde ve üniversite hastanesinde görev almaktadır. Nöroonkolojik cerrahi, omurga cerrahisi, pediatrik beyin cerrahisi ve beyin damarsal hastalıklarının tedavisinde geniş bir tecrübeye sahiptir.
Beyin Tümörlerinin Tedavisinde
Gamma Knife'ın Avantajları
-
Tedavi genellikle tek seansta tamamlanır.
-
Cerrahinin riskli olduğu olgularda tedavi şansı olur.
-
Hedef odaklıdır.
-
Kanama, enfeksiyon gibi komplikasyonlar sınırlıdır.
-
Tedavisi kolay ve ağrısızdır.
-
Hasta günlük yaşamına hemen dönebilir.



